摘要
铺路石征(crazy-paving pattern)是一种叠加在磨玻璃影背景上的线状影,形似不规则铺设的铺路石。铺路石征最初被描述为肺泡蛋白沉积症的特征性表现。如今,这种模式在高分辨率CT成像中已成为常见发现,可见于多种急性和慢性疾病。本文旨在展示导致铺路石征的不同疾病,并将CT影像学表现与组织病理学发现进行对照。
引言
在CT图像上,线状影叠加在磨玻璃影上形成一种被称为铺路石征的模式。铺路石征是薄层CT(HRCT)和多排CT(MDCT)上的常见发现。
磨玻璃影定义为肺密度模糊增高,但气道和血管边缘仍保持清晰。磨玻璃影的发生是由于气腔内空气含量轻度减少、气腔被液体/细胞或其他物质填充、肺泡壁增厚或间质增厚所致。

表1 铺路石征的鉴别诊断
| 急性疾病 | 亚急性/慢性疾病 |
|---|---|
| 肺水肿 | 寻常型间质性肺炎(UIP) |
| 肺部感染(细菌、病毒、耶氏肺孢子菌、支原体) | 非特异性间质性肺炎(NSIP) |
| 肺出血 | 肺泡蛋白沉积症 |
| 急性间质性肺炎(AIP) | 机化性肺炎 |
| 成人呼吸窘迫综合征(ARDS) | 血管炎(Churg-Strauss综合征) |
| 放射性肺炎 | 嗜酸性粒细胞性肺炎(慢性) |
| 嗜酸性粒细胞性肺炎 | 肿瘤 |
| 淋巴管性肿瘤播散 | 结节病 |
| 脂质性肺炎 |
材料与方法
对2008年1月1日至2008年12月31日期间放射科CT数据库进行回顾性分析,搜索胸部CT报告中有”铺路石征”的患者。共纳入98例患者。仅7例接受了开胸肺活检,59例根据临床标准诊断,32例病因未确定。
结果
表2 本数据库中铺路石征的不同病因
| 病因 | 例数 |
|---|---|
| 感染(细菌10例、病毒3例、真菌4例、未明确10例) | 27 |
| ARDS | 6 |
| 急性肺水肿 | 5 |
| 间质性肺病(UIP、NSIP、AIP等) | 16 |
| 肿瘤/癌性淋巴管炎 | 3 |
| 放射性肺炎 | 3 |
| 结节病 | 2 |
| 肺泡蛋白沉积症 | 1 |
| 移植物抗宿主病 | 1 |
| 脂质性肺炎 | 1 |
| 机化性肺炎 | 1 |
| 未确定 | 32 |
病例展示
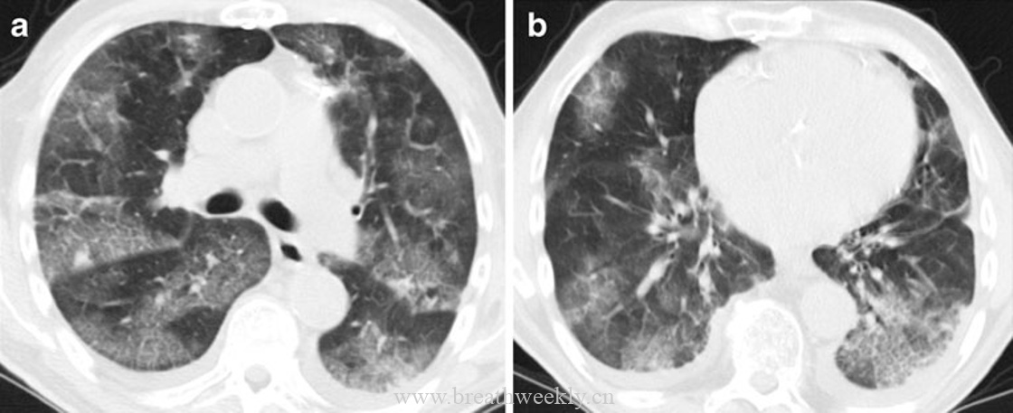
病例1:肺泡蛋白沉积症
临床资料:46岁男性,进行性呼吸困难1周,咳嗽,晨起咳白色粘痰。
影像表现:胸片显示以肺部中央为主的网状影,双肺中央密度增高。CT显示双肺斑片状铺路石征。
病理对照:肺泡内嗜酸性无定形物质,PAS染色阳性,对应表面活性物质缺乏。线状影对应腺泡边缘气腔内物质沉积(腺泡周围型)。

病例2:过敏性肺炎
临床资料:62岁女性,进行性活动后气短。
影像表现:CT显示地图样分布的铺路石征,以上肺为主。
病理对照:间质性肺炎,淋巴细胞、浆细胞浸润,可见上皮样肉芽肿,无纤维化。

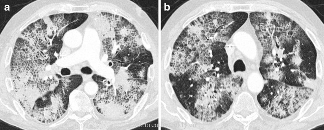
病例3:寻常型间质性肺炎(UIP)
临床资料:80岁男性,快速进展性呼吸困难。
影像表现:CT显示散在分布的铺路石征,伴牵引性支气管扩张。
病理对照:间质增厚,程度不一,部分肺泡隔正常,部分明显增厚,可见蜂窝肺。

病例4:非特异性间质性肺炎(NSIP)
临床资料:56岁女性,进行性呼吸困难。
影像表现:CT显示双肺周边为主的铺路石征。
病理对照:均匀的间质纤维化增厚伴炎症,肺泡隔内可见巨噬细胞。

病例5:放射性肺炎
临床资料:71岁男性,小细胞肺癌放疗后出现发热、咳嗽。
影像表现:CT显示放疗区域内斑片状铺路石征。
病理对照:气腔内渗出物填充,间质增厚,不规则纤维化。

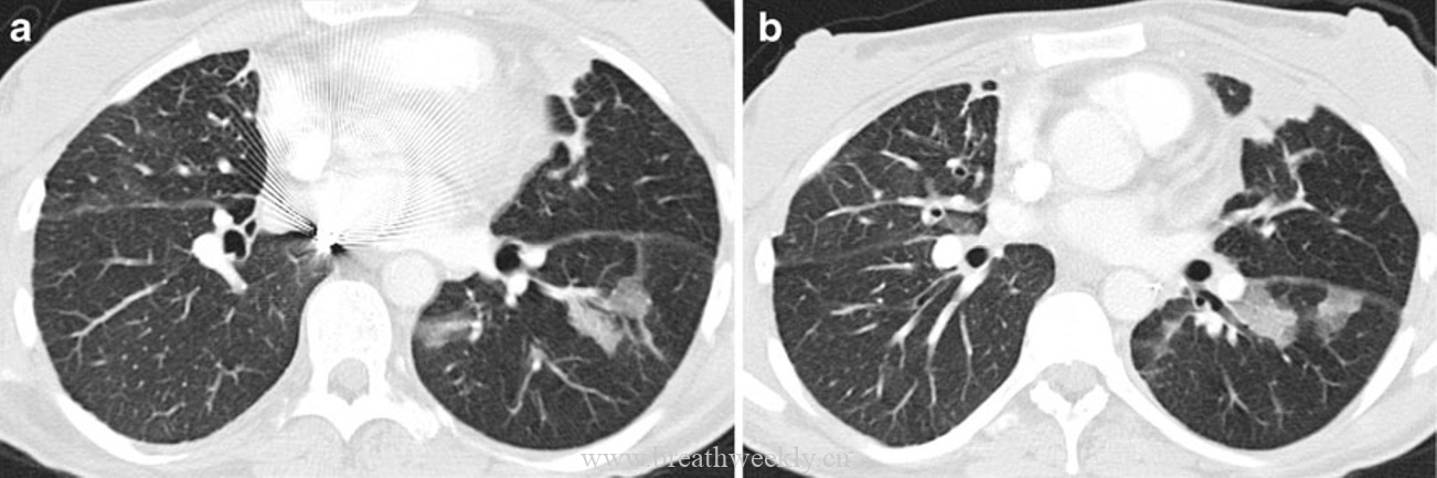
病例6:外源性脂质性肺炎
临床资料:54岁男性,进行性呼吸困难。
影像表现:CT显示右中下叶铺路石征。
病理对照:肺泡内脂质颗粒,部分被巨噬细胞吞噬,形成脂质肉芽肿。

病例7:癌性淋巴管炎
临床资料:73岁女性,隐匿起病的进行性呼吸困难。
影像表现:CT显示弥漫铺路石征,伴小结节灶。
病理对照:小叶间隔因纤维化和肿瘤细胞浸润而增厚,淋巴管扩张。

病例8:耶氏肺孢子菌肺炎
临床资料:34岁女性,免疫抑制状态,进行性呼吸功能不全。
影像表现:CT显示双肺中央为主的斑片状磨玻璃影,叠加线状影。

病例9:ARDS
临床资料:67岁女性,全膝关节置换术后发生感染性休克伴ARDS。
影像表现:CT显示双肺磨玻璃影叠加网状影。

病例10:肺水肿
临床资料:83岁男性,急性淋巴细胞性白血病,心功能不全。
影像表现:CT显示斑片状磨玻璃影叠加线状影,小叶内血管扩张呈蜘蛛样。

病例11:结节病
临床资料:44岁男性,结节病随访。
影像表现:CT显示弥漫肺密度增高,叠加不规则线状影,支气管血管束不规则增厚。

病例12:移植物抗宿主病
临床资料:40岁男性,造血干细胞移植后出现呼吸困难。
影像表现:CT显示多发磨玻璃影和实变,叠加增厚的小叶间隔和小叶内线状影。

病例13:机化性肺炎
临床资料:24岁女性,双肺移植术后随访。
影像表现:CT显示斑片状磨玻璃影叠加增厚的小叶间隔。

病例14:细支气管肺泡癌
临床资料:75岁男性,已知细支气管肺泡癌。
影像表现:CT显示斑片状密度增高区、磨玻璃影和实变,叠加网状影。

讨论
铺路石征是一种非特异性表现。最初被认为是肺泡蛋白沉积症的特征性表现,如今可见于多种肺部疾病:气腔疾病和间质疾病。
铺路石征由散在或弥漫的磨玻璃影叠加线状影组成。线状影可由以下原因引起:
- 小叶间隔增厚(间隔线)
- 小叶内间隔和小叶内间质增厚
- 气腔内物质在腺泡边缘的线状沉积(腺泡周围型)
气腔疾病
肺泡蛋白沉积症和外源性脂质性肺炎是气腔疾病。在肺泡蛋白沉积症中,气腔被磷脂蛋白样物质填充。CT上肺泡填充导致磨玻璃影,当邻近小叶间隔和肺泡壁的气腔被填充时,形成腺泡周围型。
耶氏肺孢子菌肺炎是严重免疫抑制患者常见的肺部感染。典型CT表现为双肺门周围网状影和边界不清的磨玻璃影,可伴小叶间隔增厚。
间质疾病
过敏性肺炎、UIP、NSIP、放射性肺炎、癌性淋巴管炎是间质疾病。
在过敏性肺炎中,抗原-抗体复合物引起中性粒细胞炎症反应。亚急性期活检显示肺泡壁内淋巴细胞和浆细胞浸润,伴 poorly formed 肉芽肿。慢性期出现纤维化和蜂窝肺。
UIP的CT特征包括胸膜下网状影和蜂窝肺,从肺尖到肺底逐渐加重。磨玻璃影在UIP中不明显或缺如。组织学标志是时间和空间上不均一的实质纤维化。
NSIP的HRCT主要表现为胸膜下、斑片状磨玻璃影。组织学上,均匀的间质炎症对应弥漫磨玻璃影,间质纤维化对应叠加的线状影。
放射性肺炎局限于放疗野内。急性期(放疗后4-12周)组织学表现为弥漫肺泡损伤,肺泡管和呼吸性细支气管内透明膜形成,肺泡内蛋白样渗出物填充。这对应CT上的磨玻璃影。网状影由毛细血管充血和间质水肿引起。
癌性淋巴管炎是肿瘤向肺淋巴系统弥漫播散的转移性肺疾病。肿瘤细胞播散至肺淋巴系统和淋巴周围间质组织时,CT显示间质增厚。
结节病是以非干酪样肉芽肿性炎症为特征的系统性疾病。最常见实质表现包括支气管血管束不规则增厚和淋巴周围分布的小结节。磨玻璃影和铺路石征也可见于结节病,线状影由间质纤维化引起。
ARDS是肺水肿的一种形式。CT特征为双肺实变和磨玻璃影,也可见网状和线状影。组织学特征包括肺泡和血管周围水肿,肺泡内富含蛋白的液体填充。进展至结构扭曲和蜂窝肺伴小叶间隔增厚导致线状影。
移植物抗宿主病(GVHD):HRCT表现非特异性,弥漫间质和肺泡浸润是最突出特征。根据间质和肺泡成分的比例,可出现铺路石征。活检可见多发透明膜和纤维增生性改变。
机化性肺炎是以远端小气道腔内肉芽组织栓子为特征的慢性炎症过程,常延伸至肺泡腔。典型CT表现为散在、不对称的双侧胸膜下和支气管血管周围实变。铺路石征可见但不常见。
细支气管肺泡癌(BAC)以沿气道和气腔的贴壁生长方式为特征,保持肺结构。CT表现多样,包括磨玻璃影、铺路石征、肺叶或多肺叶实变。铺路石征中,磨玻璃影反映低密度肺泡内物质(糖蛋白),叠加线状影由间质炎症或肿瘤细胞浸润引起。
结论
CT上的铺路石征是一种非特异性发现。其特征为散在或弥漫的磨玻璃影叠加线状影。线状网络可由小叶间隔或小叶内间隔增厚、小叶内纤维化,或气腔内物质线状沉积引起。大多数疾病可根据临床和影像学表现诊断。少数病例需要活检和病理检查来确定诊断。
参考文献
- Lee CH (2007) The crazy-paving sign. Radiology 243:905–906
- Rossi SE, et al (2003) “Crazy-paving” pattern at thin-section CT of the lungs: radiologic-pathologic overview. Radiographics 23:1509–1519
- Hansell DM, et al (2008) Fleischner Society: glossary of terms for thoracic imaging. Radiology 246:697–722
- Verschakelen JA, de Wever W (2007) Computed tomography of the lung. A pattern approach. Springer, Heidelberg
- Johkoh T, et al (1999) Crazy-paving appearance at thin-section CT: spectrum of disease and pathologic findings. Radiology 211:155–160
















暂无评论内容