定义
铺路石征(Crazy-paving pattern):磨玻璃影背景上叠加线状影,形似不规则铺设的鹅卵石路面。

病理基础
铺路石征由两部分组成:
- 磨玻璃影:气腔部分填充(液体、细胞、蛋白样物质)或间质增厚
- 线状影:小叶间隔增厚、小叶内间质增厚、或腺泡周围物质沉积
鉴别诊断速查表
急性疾病
| 疾病 | 临床特点 | 影像特征 |
|---|---|---|
| 肺水肿 | 心功能不全、急性起病 | 双侧、重力分布、伴胸腔积液 |
| 肺出血 | 咯血、贫血 | 斑片状、可吸收 |
| 耶氏肺孢子菌肺炎 | 免疫抑制、发热、呼吸困难 | 双肺门周围、上叶为主 |
| 病毒性肺炎 | 发热、流感样症状 | 双肺斑片状、可快速进展 |
| ARDS | 重症、呼吸衰竭 | 弥漫、实变为主 |
| 放射性肺炎 | 放疗史(4-12周后) | 局限于放疗野 |
慢性疾病
| 疾病 | 临床特点 | 影像特征 |
|---|---|---|
| 肺泡蛋白沉积症 | 进行性呼吸困难、咳白痰 | 中央分布、地图样、腺泡周围型 |
| 过敏性肺炎 | 抗原接触史 | 上叶为主、小叶中心结节、马赛克 |
| NSIP | 进行性呼吸困难 | 胸膜下、下叶为主、对称 |
| UIP/IPF | 老年人、进行性呼吸困难 | 胸膜下、下叶为主、蜂窝肺、牵引性支扩 |
| 癌性淋巴管炎 | 已知肿瘤 | 结节状间隔增厚、不对称 |
| 结节病 | 多系统受累 | 淋巴分布、支气管血管束增厚 |
| 脂质性肺炎 | 油剂吸入史 | 下叶、脂肪密度(-30至-150HU) |
典型病例
1. 肺泡蛋白沉积症(PAP)
典型表现:双肺中央地图样铺路石征,病理为肺泡内PAS阳性蛋白样物质沉积。线状影为腺泡周围型。

2. 过敏性肺炎(HP)
典型表现:上叶为主的地图样铺路石征,伴小叶中心结节。病理为间质炎症伴上皮样肉芽肿。

3. 寻常型间质性肺炎(UIP)
典型表现:胸膜下分布,伴牵引性支气管扩张和蜂窝肺。病理为时相不均一的纤维化。

4. 非特异性间质性肺炎(NSIP)
典型表现:胸膜下对称分布,下叶为主。病理为均匀的间质炎症和纤维化。

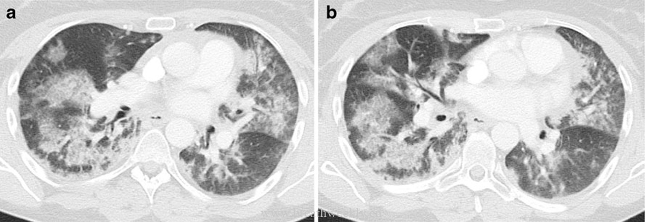
5. 耶氏肺孢子菌肺炎(PCP)
典型表现:免疫抑制患者,双肺门周围分布,可伴囊肿。

诊断思路
- 临床背景:急性 vs 慢性?免疫状态?职业/环境暴露?
- 分布特点:中央 vs 周边?上叶 vs 下叶?对称 vs 不对称?
- 伴随征象:蜂窝肺?牵引性支扩?胸腔积液?淋巴结肿大?
- 实验室检查:血清学、病原学、自身抗体
- 必要时活检:经支气管肺活检或外科肺活检
要点总结
- 铺路石征是非特异性征象,需结合临床
- 急性:肺水肿、感染(PCP、病毒)、出血、ARDS
- 慢性:PAP、HP、NSIP、UIP、癌性淋巴管炎
- PAP是经典病因,但感染更常见
- 分布特点和伴随征象是鉴别关键
参考文献:De Wever W, et al. Insights Imaging (2011) 2:117–132
© 版权声明
文章版权归作者所有,未经允许请勿转载。
THE END














暂无评论内容